- 病理学研究在新药研发临床前研究中饰演着主要的角色。。它涉及多个方面,包括动物模子确认、药物作用机制、器官损伤和毒性反映等研究类型。。(1)病理学研究是研究疾病爆发开展机制的学科,在药物药理药效学研究中,对动物疾病模子与否可以用于药理药效的评估至关主要,以及在造模乐成的基础上,科学的评价药效学作用。。(2)在药物清静性评价中,病理学评估往往也是评估药物毒性的“金标准“,并合理将其应用于推测人的临床试验风险评估。。进而有助于制订合理的临床用药剂量和用药方案,以镌汰潜在的临床::Ψ缦。。从评估的水平角度,病理学研究除了可以举行通例的定性评估,还可以凭证需求举行定量或半定量的评估,例如评价药物对差别器官的损伤程度、用软件举行定量剖析等。。
从评估规模的角度,在药理药学研究中,通常对相关的某个或某几个脏器举行评价;;;而在清静性毒理研究中,通常需要对动物的全是各系统多脏器举行病理学检查评价。。
人生就是博官方网站病理学研究平台- 人生就是博官方网站的病理学研究服务平台对标国际领先的研究操作流程和质量系统,具有完善的专业资质,完整的实验器材以及富厚的履历,能够实现高效,稳固的病理研究服务。。病理学研究服务平台可以为新药研发的药理药效和清静性评估提供真实可靠的科学依据。。人生就是博官方网站的病理学研究服务平台主要包括临床病理学和组织病理学两个部分。。临床病理学检测主要包括通例的血液学、血清生化、凝血功效、尿液检测和免疫细胞学剖析等营业。。组织病理学检查主要包括实验动物剖解、组织病理切片制作和病理诊断等营业。。

- 病理研究平台事情流程临床病理学研究的事情流程通常包括样本收罗和样天职析,即屎厕血液、尿液和粪便等样本,以对动物体内的心理指标举行监测和剖析。。这些样本可以用来检测药物对生物体的影响,如肝功效、肾功效和心血管等方面的转变。。
组织病理学研究的事情流程通常包括动物剖检(包括愉逸死)、组织切片制作和病理诊断剖析,即对实验动物实验麻醉后收罗血样致动物愉逸死、收罗动物的组织样本,经由牢靠、切片和染色等处理后制成组织切片,使用显微镜视察器官组织的形态和结构特征,病理学家撰写病理报告。。组织病理学评估被以为是毒性评估的“金标准”。。通过对组织切片的显微镜视察,可以直观地相识药物对组织结构的影响,如细胞坏死、炎症反映、纤维化等转变。。
人生就是博官方网站病理学研究服务列表- 临床病理学
血液学
Hematology Hematology Hemoglobin(HGB) Neutrophil percentage (%NEUT) Hematocrit (HCT) Neutrophil absolute count (NEUT) Mean Corpuscular Hemoglobin(MCH) Lymphocyte percentage(%LYM) Mean corpuscular volume (MCV) Lymphocyte absolute count (LYM) Mean Corpuscular Hemoglobin Concentration(MCHC) Mononuclear percentage(%MONO) Reticulocyte percentage (%RETIC) Mononuclear absolute count(MONO) Reticulocyte absolute count(#RETIC) Basophilic percentage(%BASO) Platelet count(PLT) Basophilic absolute count (BASO) Red blood cell (RBC) Eosinophilic percentage (%EOS) White blood cell (WBC) Eosinophilic absolute count (EOS) 临床化学(通例项目)
Clinical Chemistry Clinical Chemistry Alanine aminotransferase (ALT) Urea(UREA) Aspartate aminotransferase (AST) Creatinine(CREA) Alkaline phosphatase (ALP) Electrolyte (Na) Creatine kinase(CK) Electrolvte (K) γ-Gamma glutamyl transferase(GGT) Electrolyte (Cl) Cholesterol(TCHO)) Calcium (Ca) Triglyceride(TG)) Phosphorus(P) Total bilirubin(TBIL) Total protein (TP) Direct bilirubin (DBIL) Albumin(ALB) Glucose(GLU) Globulin (GLO) Albumin/globulin Ratio(A/G) 凝血
Coagulation Prothrombin time (PT) Activated partial thromboplastin time (APTT) Fibrinogen (FBG) Thrombin time(TT) 尿液剖析
Protein(PRO) Nitrite (NIT) Ketones (KET) Turbidimetry (gross observation) Blood (BLD) Color (gross observation) Urobilinogen(URO) Specific Gravity Leukocytes(LEU) pH Glucose(GLU) Volume Bilirubin(BIL) Urine sediment 流式细胞术(通例举例 )
Lymphocyte Phenotypic analysis 淋巴细胞表型剖析CD3+, CD3+CD4+, CD3+ CD8+CD3+ CD4+ / CD3+CD8+CD161+ , etc细胞因子剖析(通例举例 )
IL2, 4, 6, 10IFN-γTNF-α骨髓涂片
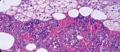
对骨髓涂片中的细胞举行数目统计和分类。。之后通过显微镜视察和剖析骨髓细胞的形态特征,评估骨髓细胞的状态 。。
血液涂片
对血液涂片中的细胞举行数目统计和分类后,视察血细胞的形态特征 。。

特殊项目
a-amylase(FAA) immunoglobulin A(lgA) High-density lipoprotein cholesterol(HDL) immunoglobulin G(lgG) Low-density lipoprotein cholesterol(LDL) immunoglobulin M (lgM) uric acid(UA) Complement C3 Lipase Complement C4 lactic dehydrogenase(LDH) glycosylated hemoglobin(HbA1c) - 组织病理学遗体剖解器官重量丈量组织牢靠显微镜视察显微镜视察组织切片制作
遗体剖解
组织病理学研究通常需要举行动物的遗体剖解。。常用的实验动物包括大鼠、小鼠、兔子、狗、猪、猴子等。???梢杂τ糜诓畋鹄嘈偷难芯浚ǘ拘匝芯、药理药效学研究和组织漫衍研究等。。通常方法遵照::愉逸死、采血 愉逸死、采血、剖解、器官重量、组织牢靠。。
Subject Type of study Subject Type of study TOX Tox-sigle dose PD Tumor models Tox-repeated dose Non-tumor models Tox-DART 1 PK Tissue distribution Tox-irritation test Research all animal tissues Tox-carcinogenicity 显微镜视察(Microscopically)
在组织病理学研究中,通;;;岫云式饣竦玫钠鞴倬傩兄亓空闪浚匀范ㄒ┪锒愿闷鞴俚挠跋斐潭。;;;竦玫淖橹净峋傩欣慰看恚约岢肿橹峁沟耐暾。。经由牢靠处理后,组织样本被嵌入石蜡中,切片并染色。。然后使用显微镜视察和剖析组织的形态和结构特征,以评估药物对组织的损伤程度、器官的功效转变以及药物在组织中的漫衍情形。。

使用毗连LIMS系统的天平举行脏重视量称量及数据收罗
Adrenal glands Pituitary Large intestine, rectum Skin Brain Aorta Throat Small intestine.duodenum Heart Bone with bone marrow, riba Lymph node, mandibular Small intestine. ileum (with gut-associated lymphoid tissue) Kidney Bone with bone marrow. sternum Lymph node, mesenteric Small intestine, jejunum Liver Bone with bone marrow.femur Mammary gland (malesand females) Cervical medulla Spleen Esophagus Nerve, sciatic Lumbar medulla Thymus Eyes (with optic nerves) Oviducts Thoracic medulla Ovaries Gallbladder Pancreas Stomach Uterus with cervix Gross lesion Prostate Tongue Testes Injection site (with surrounding blood vessels and muscles) Mandibular salivary gland Trachea Epididymides Tibiofemoral joint Parotid gland Ureter Thyroid and parathyroid glandsb Large intestine. cecum Sublingual salivary gland Urinary bladder Lungs with bronchi Large intestine. colon Skeletal muscle Vagina 表格展示为病理学检查收罗脏器清单列表,红色字体脏器为通例称重脏器,蓝色为凭证需求(动物种属或试验类型)可增添的称重脏器。。
组织切片制作
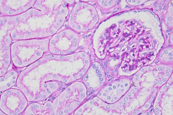
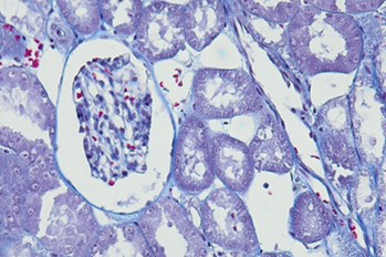
石蜡切片程序:: 取样、组织处理(脱水、澄清、上蜡)、包埋、切片、染色;;;冷冻切片程序:: OTC 包埋、切片、染色;;;HE 染色特殊染色:: PAS、O 油、Masson 等。。IHC 染色切片扫描定量剖析:: 图像剖析软件染色举例

HE染色

天狼星红染色

PAS染色

Masson染色

IHC-CD3

IHC-CD31
诊断
组织病理学研究的主要目的之一是评估药物对动物体内器官和组织的影响。。经由显微镜视察和剖析组织的形态和结构特征,可以诊断出药物对组织的损伤程度、器官的功效转变以及药物在组织中的漫衍情形等。。
每个病理学家均配备专用的光学显微镜,均配有CCD图像收罗。。
Subject Type of study Subject Type of study TOX Tox-sigle dose PD Tumor models Tox-repeated dose Non-tumor models Tox-DART 1 Research all animal tissues Tox-irritation test Tox-carcinogenicity
病理研究服务平台专业资质人生就是博官方网站病理研究服务平台的专业资质包括临床病理学NIFDC认证的生物剖析实验室和毒理病理学实验室的能力验证或实验室比对及格证书。。



由上海市临床磨练中心揭晓的能力认证及格证书。。









毒理病理学实验室相关能力验证及格证书



病理研究服务平台实验室设施- 临床病理学实验室主要仪器

贝克曼库尔特 AU5800 全自动生化剖析仪

Sysmex 凝血剖析仪

Sysmex 全自动尿液剖析仪

Sysmex 血液剖析仪

热冻离心机

粪便剖析仪

37 °C 电炉

透风橱

剖解室

取材室

制片室

免疫组化实验室

阅片室

多人共览显微镜室
- 组织病理学实验室相关实验设施

徕卡自动脱水机

Epredia 包埋机

徕卡显微切片机.

徕卡全自动染色封片机

BOND RX 自动 IHC 机械

徕卡载玻片打标机

徕卡荧鲜明微镜

徕卡嵌入盒打标机

徕卡载玻片扫描仪

热冻显微切片机














